津市の矯正歯科なら

〒514-0035 三重県津市西丸之内27-17
近鉄名古屋線「近鉄津新町駅」より徒歩7分
三重会館バスターミナルより徒歩10分

診療時間
9:00~12:30 × ×
14:00~18:30 × × ×

△:9:00~15:00
休診日:木曜・日曜・祝日

ご予約・お問い合わせはこちらへ

059-225-2389

矯正治療症例

       大人の矯正(成人矯正)症例

大人の矯正は永久歯の歯列の状態で行います。一般的に成長を利用した治療は期待できない為、歯牙に装置を装着し、ワイヤーで治療を行います。また、症例によってはマウスピースによる取り外しの治療も可能です。


上顎前突(出歯)

 

Case 1

主訴: 口元出っ張り

診断: アングルⅡ級Ⅰ類 上顎前突

治療方針  :

患者さんは26歳の成人女性あった。オーバージェットは11mmと大きく、下顎の叢生が軽度であった為、上顎左右側第一小臼歯の抜歯を行い、マルチブラケット装置により上顎前歯部の舌側傾斜を図ることとした。

治療期間 : 2年7カ月

費用:

診断費30000円、装置費用600000円、保定装置費用50000円、月1回の調整費4000円  (全て税別)


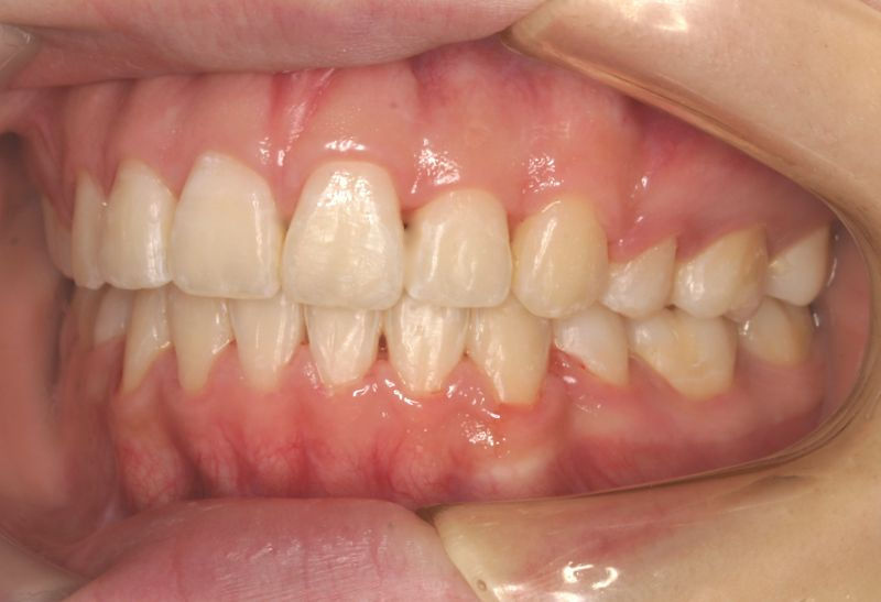
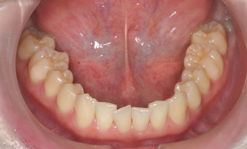
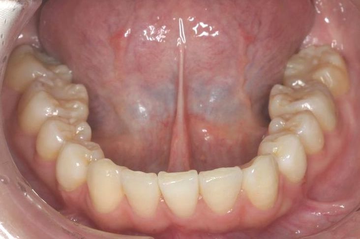
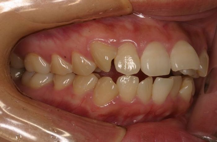
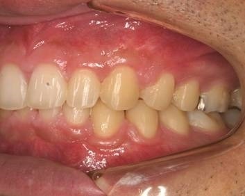
【 治療前 】
【 治療後 】

Case 2

主訴: 出っ歯が気になる

診断: アングルⅡ級Ⅰ類 上顎前突

治療方針  :

患者さんは18歳の女性あった。U-1 to FHは1S.D.を超えて大きく、下顎歯列に軽度の叢生を認めた。上顎左右側第一小臼歯および下顎左右側第二小臼歯の抜歯を行い、マルチブラケット装置により上顎前歯部の審美的改善とⅠ級関係の咬合様式を獲得することとした。

治療期間 : 2年1カ月

費用:

診断費30000円、装置費用600000円、保定装置費用50000円、月1回の調整費4000円  (全て税別)


【 治療前 】
【 治療後 】

Case 3

主訴:  前歯のガタガタが気になる。

診断:  アングルⅡ級 叢生

治療方針:

患者さんは13歳の男児で、上顎前歯の叢生を主訴に来院した。上下顎前歯部に叢生を認め、第一大臼歯はⅡ級の咬合様式であった。ANBは5.2°、また、U1 to FHは1S.D.を超えて大きかったが、口元の突出感は認めずフェイスラインは良好な状態であった。さらにL1 to mandibularは1S.D.を超えて小さい値であった。以上のことから、抜歯を行うと口元の後退を招き、さらに抜歯スペースに余りが生じると判断した為、カリエールモーションを使用して上顎臼歯部の遠心移動によりスペースを獲得し、上顎前歯部叢生と前突の改善を図ることとした。また、下顎は前歯部をフレーアウトさせて叢生を改善する計画とした。

治療期間: 1年7カ月

費用:

診断費30000円、装置費用600000円、保定装置費用50000円、月1回の調整費4000円  (全て税別)

【 治療前 】
【 治療中 】
【 治療後 】

下顎前突(受け口)

 

Case 1

主訴:  前歯の反対が気になる

診断:  アングルⅢ級 下顎前突

治療方針:

患者さんは18歳の男性。上顎前歯部の舌側傾斜による歯性下顎前突であった為、非抜歯にてマルチブラケット装置による改善を図ることとした。

治療期間: 1年8カ月

費用: 

診断費30000円、装置費用600000円、保定装置費用50000円、月1回の調整費4000円   (全て税別)

 

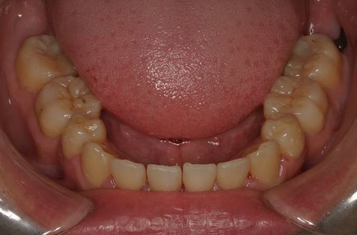
【 治療前 】
【 治療後 】

Case 2

主訴:  食べれない

診断:  アングルⅢ級 下顎前突

治療方針:

患者さんは16歳の女子であった。受け口を改善する目的で小学生から床矯正を他院で行っていた。下顎が成長するにつれて拡大症では制御できず、咬合不全の状態となり来院した。上下歯列不正を改善し、Ⅰ級関係の咬合様式を獲得することを目標とした。上下左右側第一小臼歯を抜歯してマルチブラケット装置にて治療を行った。

治療期間: 3年4カ月

費用: 

診断費30000円、装置費用600000円、保定装置費用50000円、月1回の調整費4000円   (全て税別)

【 治療前 】
【 治療後 】

上下顎前突(上下の歯が出ている 口ボコ)

Case 1

主訴:  口が閉じにくい

診断:  アングルⅠ級 上下顎前突

治療方針:

患者さんは17歳の女性で、上下顎前歯部の唇側傾斜による口唇閉鎖不全を認めた。Ⅰ級関係の咬合であった為、上下顎左右側第一小臼歯の抜歯を行い、ホールディングアーチによる加強固定とマルチブラケット装置により上下顎前歯部の舌側傾斜を図ることとした。

治療期間:  3年2カ月

費用: 

診断費30000円、装置費用600000円、保定装置費用50000円、月1回の調整費4000円  (全て税別)

 
 
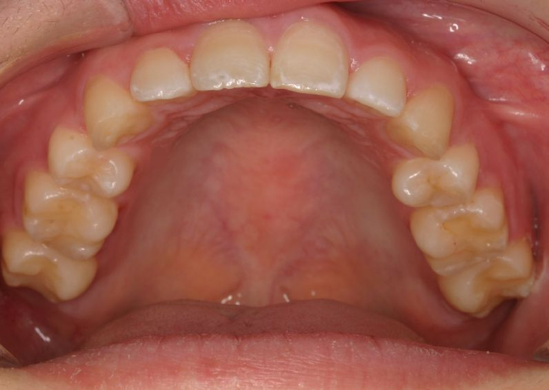
【 治療前 】
【 治療後 】

Case 2

主訴:  口元が気になる。

診断:  アングルⅠ級 上下顎前突

治療方針:

患者さんは19歳の女性であった。上下顎前歯部の唇側傾斜による口元の突出感を訴えた。第一大臼歯はⅠ級の咬合様式であったことから上下顎左右側第一小臼歯の抜歯とホールディングアーチによる加強固定を行い、マルチブラケット装置により上下顎前歯部の舌側傾斜による口元の改善を図ることとした。

治療期間: 1年5カ月

費用:

診断費30000円、装置費用600000円、保定装置費用50000円、月1回の調整費4000円  (全て税別)

【 治療前 】
【 治療後 】

Case 3

主訴:  口元が気になる。

診断:  アングルⅠ級 上下顎前突

治療方針:

患者さんは20歳の女性で上下顎前歯部の唇側傾斜による口元の突出感を訴えた。第一大臼歯はⅠ級の咬合様式で、セファロ分析ではU-1 to FHおよびL-1 to Mandibularは1S.D.の範囲内であった。治療方針として、上下顎左右側第一小臼歯を抜歯して上下顎前歯部を舌側傾斜した方針では抜歯スペースの閉鎖が困難と判断し、カリエールモーションを用いて上顎左右側犬歯の遠心移動と下顎前歯部のジスキングによりスペースを獲得し、マルチブラケット装置を用いて非抜歯で上下顎前歯部の舌側傾斜による口元の改善を図ることとした。

治療期間: 1年3カ月

費用:

診断費30000円、装置費用600000円、保定装置費用50000円、月1回の調整費4000円  (全て税別)

【 治療前 】
【 治療後 】

叢生(乱杭歯)

Case 1                          

主訴:  歯のガタガタが気になる。

診断:  アングルⅠ級 叢生

治療方針:

患者さんは23歳の女性で、前歯部の審美的な不満と下顎右側第二小臼歯の舌側傾斜による咀嚼時の舌接触違和感を感じていた。Ⅰ級関係の咬合で成人女性である為、上顎左右側第一小臼歯と下顎右側第二小臼歯および下顎左側第一小臼歯の抜歯を行い、ホールディングアーチによる加強固定とマルチブラケット装置により叢生の改善を図ることとした。

治療期間: 2年2カ月

費用:

診断費30000円、装置費用600000円、保定装置費用50000円、月1回の調整費4000円  (全て税別)

 

 

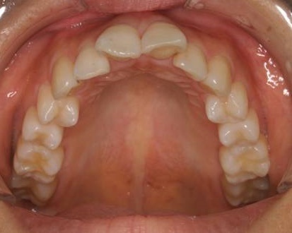
【 治療前 】

【 治療後 】

Case 2

主訴:  噛みにくい

診断:  アングルⅠ級 叢生

治療方針:

患者さんは26歳の女性で、上下顎の叢生による審美障害と咬合異常を訴えた。セファロ分析の結果、U-1 to FHおよびL-1 to Mandibularは1S.D.を超えて小さい値であった。その為、上下顎の叢生量は大きいが、上下前歯部の舌側傾斜による口元の落ち込みを防止する目的で、非抜歯で治療を行うことにした。

治療期間: 1年4カ月

費用:

診断費30000円、装置費用600000円、保定装置費用50000円、月1回の調整費4000円  (全て税別)

 
【 治療前 】

【 治療後 】

Case 3

主訴:  八重歯が気になる。

診断:  アングルⅠ級 叢生

治療方針:

患者さんは19歳の男性であった。上下顎左右側犬歯の低位による審美障害を訴えた。第一大臼歯はⅠ級の咬合様式であったことから上下顎左右側第一小臼歯の抜歯とホールディングアーチによる加強固定を行い、セクショナルアーチを用いて上下顎左右側犬歯を歯列内に誘導し、咬合関係の改善を図ることとした。

治療期間: 1年3カ月

費用:

診断費30000円、装置費用600000円、保定装置費用50000円、月1回の調整費4000円  (全て税別)

【 治療前 】
【 治療後 】

Case 4

主訴:  八重歯が気になる。

診断:  アングルⅠ級 叢生

治療方針:

患者さんは21歳の女性であった。上顎左側犬歯の低位による審美障害を訴えた。成人女性で第一大臼歯はⅠ級の咬合様式であったこと、下顎左側側切歯の先天的欠如を認めたことを考慮して、変則的ではあるが、上顎左側第一小臼歯のみを抜歯して犬歯を配列することを優先した。上顎左側第一小臼歯の抜歯と同時にホールディングアーチで固定を行い、上下顎マルチブラケット装置により治療を行った。なお、治療後には患者さんの了承を得て咬合調整を行った。

治療期間: 2年1カ月

費用:

診断費30000円、装置費用600000円、保定装置費用50000円、月1回の調整費4000円  (全て税別)

【 治療前 】
【 治療後 】

開口

 

主訴:  前歯の隙間が気になる。

診断:  アングルⅡ級 開口

治療方針:

患者さんは32歳の女性であった。前歯部の開口により咀嚼障害と発音障害を認めた。Ⅱ級関係の咬合で成人女性である為、上顎左右側第一小臼歯と下顎左右側第二小臼歯の抜歯を行い、ホールディングアーチによる加強固定とマルチブラケット装置により上下顎前歯部の舌側傾斜を行い、開口の改善を図ることとした。

治療期間: 3年6カ月

費用:

診断費30000円、装置費用600000円、保定装置費用50000円、月1回の調整費4000円  (全て税別)

 
【 治療前 】
【 治療後 】

空隙歯列(すきっ歯)

         

主訴:  歯の隙間が気になる。

診断:  アングルⅠ級 空隙歯列

治療方針:

患者さんは21歳の男性。歯列の空隙により食片の圧入と発音障害を訴えた。Ⅰ級関係の咬合である為、非抜歯でホールディングアーチによる加強固定とマルチブラケット装置を装着し、空隙を利用した上下顎前歯部の舌側傾斜を図ることとした。

治療期間:  2年2カ月

費用:

診断費30000円、装置費用600000円、保定装置費用50000円、月1回の調整費4000円  (全て税別)

 
【 治療前 】
【 治療後 】

部分矯正

Case 1        

主訴:  前歯の隙間が気になる。

診断:  アングルⅠ級 正中離開

治療方針:

患者さんは22歳の女性で、前歯部正中離開による審美障害の改善を希望した。Ⅰ級の咬合関係であること、オーバージェットに余裕があること、さらに患者さんの希望により、上顎6前歯にマルチブラケット装置を装着して治療を行った。計画した通りに上顎前歯部の舌側傾斜による離開の閉鎖が得られた。なお、患者さんの了承を得てアンテリアガイダンスの調整を行っている。

治療期間:  5カ月

費用:

装置費用150000円、月1回の調整費4000円  (全て税別)

 
【 治療前 】
【 治療後 】

Case 2        

主訴:  前歯のガタガタが気になる。

診断:  アングルⅠ級 叢生

治療方針:

患者さんは12歳の男児であった。上顎前歯部の叢生と上顎右側犬歯の埋伏を訴えて来院した。まず、リンガルアーチを用いて上顎左側側切歯を唇側に移動後、上顎全歯にマルチブラケット装置を装着し叢生の改善を図った。その後、上顎右側犬歯相当部の歯肉を切開し、埋伏犬歯を牽引して歯列内へと誘導を行った。

治療期間:  1年2カ月

費用:

装置費用300000円、月1回の調整費4000円  (全て税別)

【 治療前 】
【 治療後 】

Case 3        

主訴:  噛みにくい

診断:  上顎左右側第一大臼歯の近心傾斜

治療方針:

患者さんは23歳の男性。上下顎左右側第二小臼歯と上顎左右側第二大臼歯の先天的欠如の為、他院でマウスピース矯正を行ったが臼歯部の咬合関係は改善されず、咀嚼不全を主訴に来院した。上顎左右側第一大臼歯は近心傾斜しており、過蓋咬合の為に顎関節症の症状を伴った。治療計画として上顎のみにマルチブラケット装置を装着し、上顎左右側第一小臼歯と上顎左右側第一大臼歯との間にオープンコイルを挿入し、上顎左右側第一大臼歯のアップライトと反作用による上顎前歯部のフレアーアウトを期待して治療を行うこととした。さらにアップライトの完了後にBrによる咬合改善と永久固定を必要と判断した。治療は計画通りに咬合の挙上と良好な咬合関係を獲得し、顎関節症の症状は軽減した。

治療期間:  5カ月

費用:

装置費用300000円、月1回の調整費4000円 セレックによるBrの費用は別途 (全て税別)

【 治療前 】
【 治療後 】

治療の期間や治療後の歯列状態は患者さんの歯列状況や協力度および口腔清掃状況によって異なります。ご了承ください。

中村歯科クリニックについて

日本矯正歯科学会認定医が、ご希望やお悩みに合わせて治療をご提案します。また、矯正治療中に虫歯や歯周病にならないよう、予防にも力を入れています。

当院では目立たない矯正装置を中心に、さまざまな矯正の方法をご提案いたします。

当院の矯正治療の流れは、こちらからご確認ください。

当院の待合室や診療室、導入している機器などをご紹介いたします。

患者さんから多く寄せられる質問をまとめました。

当院では矯正歯科治療でお悩みの方へ無料矯正相談を行っています。お電話かご予約フォームよりお気軽にご連絡ください。

059-225-2389

診療時間

 
午前 × ×
午後 × × ×

午前:9:00~12:30
午後:14:00~18:30
△:9:00~15:00
休診日:木曜・日曜・祝日

059-225-2389

〒514-0035
三重県津市西丸之内27-17
近鉄名古屋線「近鉄津新町駅」より徒歩7分